About Us
A charming and pleasant smile plays a crucial role in social interactions and boosting self-confidence.
Today, many people struggle with dental issues such as misalignment or malocclusion, which negatively impact the appearance of their smiles. Orthodontics is an effective solution for correcting these problems and improving the aesthetics of teeth. However, the traditional look of braces and metal brackets discourages many individuals from seeking treatment. Fortunately, clear aligners offer a modern and transparent alternative, eliminating this concern. This innovative treatment allows you to achieve a beautiful and symmetrical smile without worrying about the appearance of your teeth during the process. Here, we explore every aspect of clear aligners-from their benefits and challenges to treatment stages and post-treatment care-while addressing common questions in this field. a beautiful smile is not just a goal; it’s a journey we take with you.
Nik Smile is the ideal choice for clear orthodontics because it is home to a team of highly skilled and experienced professionals. Using the latest treatment techniques, high-quality materials, and advanced equipment, we guarantee the best results for our patients. The clinic's friendly and professional staff is always ready to warmly address your needs. We offer various payment plans, making digital orthodontic services accessible to everyone and simplifying the treatment process for our clients.
Our Services
We provide more than just quality services
3D Dental Scanning
3D Dental Scanning
The first step in the digital orthodontic process is a precise 3D scan of the teeth. This scan allows the laboratory to obtain a complete image of the patient's dental structure and design a tailored treatment plan based on it.
Ideal Teeth Alignment
Ideal Teeth Alignment
After the scan, the laboratory uses advanced software to create a plan for the gradual movement of the teeth to their correct position. This plan shows step by step how the aligner will adjust the teeth throughout the treatment.
Clear Aligner Production
Clear Aligner Production
Once the treatment plan is approved, the laboratory manufactures this with high-quality materials and precision. These aligners are custom-made to fit the patient's mouth and teeth, gradually guiding them to their ideal position.
Continuous Support and Monitoring
Support and Monitoring
In collaboration with the digital dentist, the laboratory continuously monitors the progress of the treatment. If needed, adjustments are made to the aligner design throughout the treatment to ensure the best possible result.
Digital Orthodontics Video
Getting to Know How Aligners Work
Clear aligners are removable orthodontic devices that fit over the teeth and gently apply standardized forces to guide the teeth into their proper positions.
Steps of Clear Orthodontics Treatment
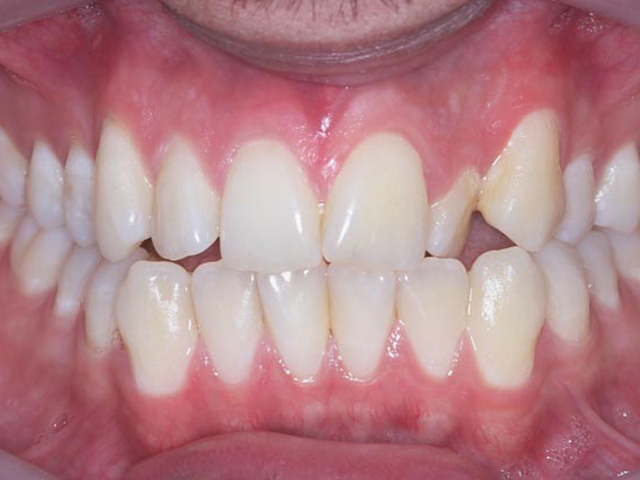
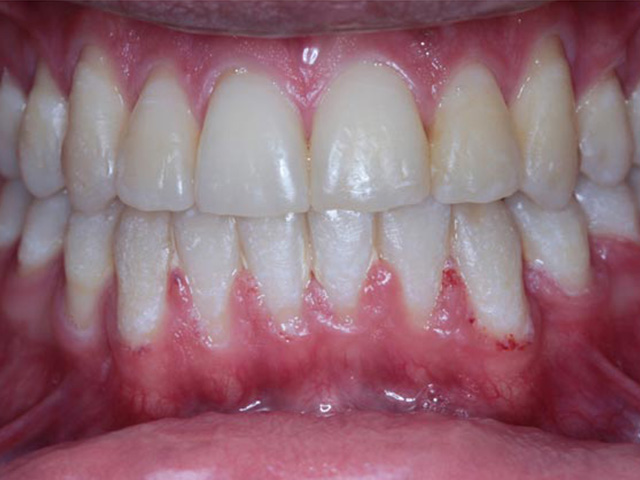
Nik Smile Portfolio
View Treatment Samples
The journey to a beautiful smile at Nik Smile begins with taking several photos and sending them to us. Then, our dental team will review the photos and provide guidance to you.








Nik Smile Packages
Based on the patient’s treatment plan
Informations